Ecosur alerta por la alarmante alza de casos de tuberculosis en todo México

Por diegoramirez , 8 Diciembre 2025
Sumario
Indicó que, si esto no se atiende, podría causar estragos similares a los del Covid-19 en varias regiones
Cuerpo de la Nota

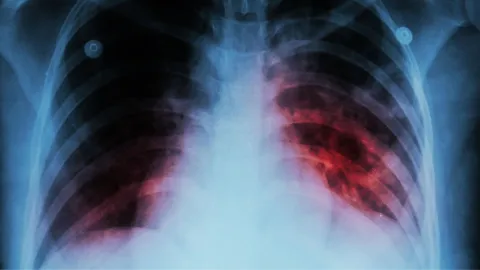
El investigador de El Colegio de la Frontera Sur (Ecosur), y presidente de la Red Mexicana de Investigación en Tuberculosis y Otras Micobacteriosis A.C, Héctor Javier Sánchez Pérez, alertó por el alarmante repunte de casos y muertes por tuberculosis en diferentes regiones de México.

A través de un comunicado, el académico explico que, tras la pandemia de covid-19, la tuberculosis recuperó fuerza y dejó cifras que no se veían desde hace años. El aumento de decesos y la presencia de micobacterias distintas a la tuberculosis son algunos de los signos que más preocupan.

Aunque la enfermedad suele responder a un tratamiento estándar compuesto por cuatro medicamentos, México no alcanza los niveles de curación esperados. En condiciones normales casi nueve de cada diez pacientes deberían recuperarse, el país se mantiene apenas alrededor del 80%

La brecha se agrava con la expansión de casos resistentes, los cuales pueden causar que el esquema deje de funcionar, ya que los costos se disparan de $10,000 o $15,000 pesos a más de $100,000 por paciente, lo que lleva a que probabilidades de curación caigan drásticamente.

Pérez estima que, solo en México, más de 3,000 personas mueren cada año por esta enfermedad. Cabe señalar que, en el mundo, alrededor de 10 millones de personas se contagian anualmente y más de un millón pierde la vida a causa de este letal agente infeccioso. 

Mantente al tanto de todas las noticias de Puebla y el mundo. Haz clic aquí para seguir explorando nuestro portal.  

Foto: Medline Plus 

dro

Cabeza Editorial
Indicó que, si esto no se atiende, podría causar estragos similares a los del Covid-19 en varias regiones
Galería de Imagenes
Imagen
Ecosur alerta por la alarmante alza de casos de tuberculosis en todo México
Contador
164
Publicar en
Sección
valoracion
0